Navigating Brain Cancer While Pregnant: Caroline’s Grade 4 Glioblastoma Story
Glioblastoma during pregnancy is not a scenario most people ever imagine for themselves, yet that is exactly where Caroline found herself at 20 weeks pregnant. What began as something she dismissed as “pregnancy brain” and stress from work, escalated into slurred speech and the sudden inability to read from her own teaching materials in front of a full class.
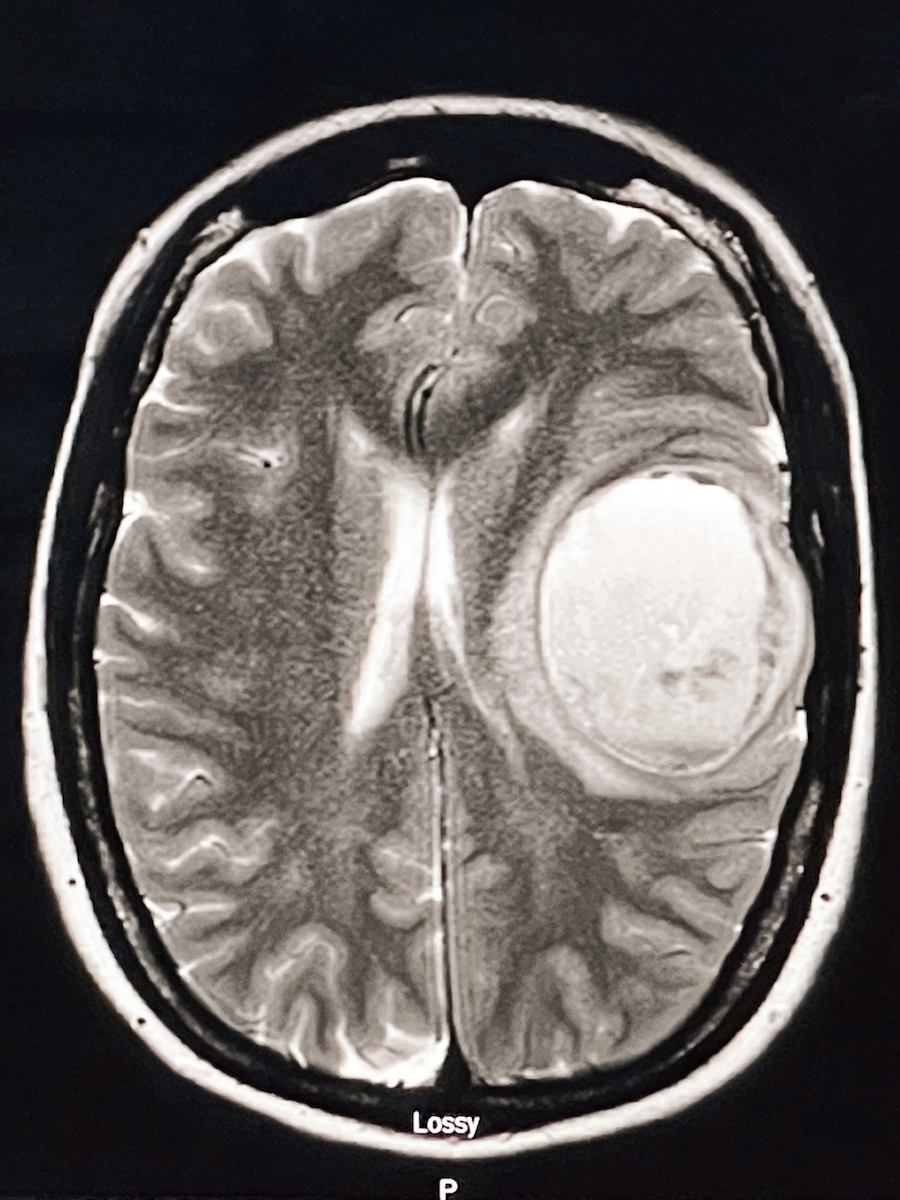
Alarmed, she went home and searched “brain tumor while pregnant,” a phrase no expectant parent ever wants to type. An emergency room visit and MRI revealed a large mass on her language center, but because she was pregnant, her team could not yet fully characterize what they were seeing.
Interviewed by: Carly Knowlton
Edited by: Katrina Villareal
Caroline and her medical team wrestled with impossible choices, including whether to attempt an awake craniotomy while she was pregnant, knowing there were no guarantees of getting a clear diagnosis or preserving her speech. She chose to go home briefly and try speech therapy, but her symptoms sharply worsened. Within days, her language had deteriorated so much that she could not accurately say the month or year. A repeat scan showed the mass had nearly doubled in size, and an emergency craniotomy followed.
When she woke up, Caroline was relieved simply to be speaking again, even if imperfectly. But the pathology news was devastating: glioblastoma, a fast-growing grade 4 primary brain tumor. Because of how urgently she needed treatment, her doctors told her they could not both aggressively treat the tumor and safely continue the pregnancy. Ultimately, Caroline chose to terminate her pregnancy at 21 weeks, while grieving the possibility that she herself might live less than a year and her 22‑month‑old daughter would not remember her.

Treatment moved quickly. Caroline underwent six weeks of chemoradiation and then high‑dose chemotherapy, which she had to stop early when her platelets could no longer tolerate the regimen. She also used a wearable device with electrodes on her scalp.
Caroline reoriented her life completely around simply being present with her daughter and focusing on small daily goals, like getting out of bed and walking. Over time, her scans showed no evidence of disease or stable findings, and her neurologist encouraged her to use that window to heal while continuing close MRI surveillance. Knowing how low glioblastoma survival statistics can be, she told her doctor she intended to be among the small percentage who reach five years.
Caroline describes living with terminal cancer as both a blessing and a curse. The experience stripped away much of her lifelong anxiety and fear, leaving her more grounded in each day. She had already survived other trauma before cancer, but this diagnosis — and the agonizing decision to end a wanted pregnancy to pursue treatment — became a stark turning point.
Today, she frames her life less in terms of how long she has and more in terms of how fully she can love her daughter, inhabit her relationships, and refuse to be intimidated by a world that once felt overwhelming.
Key Story Takeaways:
- Persistent or worsening symptoms should be checked by a doctor.
- Patients are never to blame for how their bodies respond to disease or treatment; cancer and the limits of current therapies are at fault, not choices or willpower.
- Caroline advocated for herself, accepted help, and defined success as time with her child and healing in her body.
- Even with a terminal diagnosis and difficult statistics, Caroline focuses on becoming a five-year survivor and living one day at a time.
- Caroline lives with both grief over ending a wanted pregnancy and deep gratitude that treatment has given her more time with her daughter.
- Name: Caroline W.
- Age at Diagnosis:
- 37
- Diagnosis:
- Glioblastoma
- Grading:
- Grade 4
- Symptom:
- Loss of the ability to speak and write
- Treatments:
- Surgery: craniotomy
- Chemotherapy
- Radiation
- Wearable electric field therapy for glioblastoma
This interview has been edited for clarity and length. This is not medical advice. Please consult with your healthcare provider to make informed treatment decisions.
The views and opinions expressed in this interview do not necessarily reflect those of The Patient Story.
- Early Symptoms Mistaken for Pregnancy Brain
- Struggling with Speaking and Reading During Pregnancy
- Searching for Answers: Google and Emergency Room Visit
- Discovering the Brain Mass and Facing Uncertainty
- ICU Stay and Difficult Diagnostic Decisions
- Worsening Symptoms and Fast-Growing Brain Tumor
- Loss of Speech and Cognitive Confusion
- Emergency Craniotomy and Return of Speech
- Devastating Diagnosis: Glioblastoma While Pregnant
- Forced to Make a Heartbreaking Pregnancy Decision
- Undergoing Pregnancy Termination for Cancer Treatment
- Caroline’s Fight Continued, with No Time to Pause
- Chemoradiation, Podcast Learning, and Side Effects
- Daily Life Adjustments During Treatment
- Support System: Focusing on Family and Motivation
- Encouraging Medical News: No Evidence of Disease
- Five-Year Survival Hope and Living with Terminal Cancer
Early Symptoms Mistaken for Pregnancy Brain
I started thinking that I was having pregnancy brain.
When I was diagnosed, I was exactly 20 weeks pregnant. They didn’t know if I would survive the pregnancy.
Caroline blamed her first symptoms on pregnancy and stress.
I was a massage therapist and a yoga instructor. I had my own business in the neighborhood for 10 years. I thought it was a little bit of stress, maybe.
Struggling with Speaking and Reading During Pregnancy
But her symptoms intensified.
I taught a class of about 30 students. During class, I was stumbling on my words. I knew something was wrong because when I went to read the book that I had made for the course, I couldn’t read it. I was able to perform the physical part completely, but that’s all I did for the rest of the class for two hours. I could respond, but I was slurring. I went home and searched on Google, “brain tumor while pregnant.”
Searching for Answers: Google and Emergency Room Visit
Caroline went to the emergency room. An MRI led to answers and more questions.
One of the residents came and he was excited. He said they found a mass on my language center. I was excited at first because it felt like validation that it wasn’t me having a mishap. It was a big mass right on my language center. But they didn’t know what it was. Is it a brain bleed? Is it a stroke? Is it a tumor? They couldn’t do an MRI with contrast since I was pregnant.
Discovering the Brain Mass and Facing Uncertainty
I stayed in the ICU for a couple of days. While they tried to decide whether they could do an awake craniotomy to see if they could do a biopsy, the problem was that they were afraid that the blood had already coagulated inside my brain and they would not be able to get a good sample.
ICU Stay and Difficult Diagnostic Decisions
My ability to speak was already declining every day. They gave me the option to try the awake craniotomy, knowing it may or may not work, or go home, go to speech therapy a couple of times a week to see if it was a stroke, and come back in three weeks to see if they can do something then. I chose that option because I wanted to go home.
Worsening Symptoms and Fast-Growing Brain Tumor
I was doing speech therapy and feeling good for a couple of days, but then it started going downhill quickly. My husband took me back to the hospital a few days later and the mass had nearly doubled in size.
Loss of Speech and Cognitive Confusion
By the time I got in, I didn’t know who the president was. I knew what month it was, but I couldn’t say it. I tried to say March and it would come out as May. If I tried to say 2022, it came out as 2002. I couldn’t get the words right.
We’re here now, so let’s get it taken care of. They said it could have been a hemorrhagic stroke. I was hoping for that because I can live with that. I might not be able to talk again, but I could live with that. They were also thinking it could be some sort of bleed.
Emergency Craniotomy and Return of Speech
After an emergency craniotomy, Caroline was able to speak again.
It wasn’t the best, but to go from not being able to speak to speaking again, I was so excited. When they brought me back to my room, I was told that it looked like it was a tumor and that it looked malignant. I said, “Okay, we’ll talk about it tomorrow.”
Devastating Diagnosis: Glioblastoma While Pregnant
In my heart, I felt it was going to be a primary brain tumor.
They came in and said it’s a glioma. I said, “Oh, no. That’s the worst one.” She said, “Not necessarily. It could be a grade 2. You could continue your pregnancy if it’s a grade 2.” I said, “What if it’s a grade 3 or 4?” She said, “We throw the kitchen sink at it.”
And it was grade 4.
Forced to Make a Heartbreaking Pregnancy Decision
Before she could fully comprehend her diagnosis, Caroline was forced to make a heart-wrenching decision.
When you hear that news, you think, “Is there any other way to get around this?” They said they wouldn’t be able to treat me if I kept the baby. It would have been too long between having the baby and being able to get chemotherapy.
Undergoing Pregnancy Termination for Cancer Treatment
When I was diagnosed, I was exactly 20 weeks pregnant. I was diagnosed on the same week as my 20-week scan and the scan was perfect. I met with the fetal medicine specialist and the genetics specialist to find out if there’s any way they could take my baby out sooner, but the answer was no.
Radiation would be too far away if I were to have the baby. They wouldn’t even do the radiation because it was too far from the surgery.
I was encouraged to have a termination because they felt like I needed to start treatment as soon as possible. That way, I could extend my life to maybe a year. The prognosis for glioblastoma is about a year to a year and a half. It’s usually six months to a year and a half, so they didn’t know if I would survive my pregnancy.
I scheduled my termination, which was a two-day procedure, and had it done at 21 weeks. Making that choice and knowing that I might not even live a year was the hardest thing. My other baby at home was only 22 months then. She won’t remember me. My biggest concern was that she wouldn’t remember who I am. Those two moments were definitely the hardest.
I was afraid of leaving my daughter, but I wasn’t afraid of dying. If it weren’t for my daughter, I probably wouldn’t have been as worked up.
Caroline’s fight continued, with no time to pause.
Caroline’s Fight Continued, with No Time to Pause
After the night I came home from my termination, I had to go back the next morning to be fitted for my radiation mask. It was fast. I did six weeks of chemoradiation. I was told that they wanted to do a year of high-dose chemo. The treatment would be five days on, three days off for a year. But I only made it six months because my platelets couldn’t take it anymore.
I had radiation scheduled at 7:40 a.m., Monday through Friday. We got up, got in the car, and listened to a glioblastoma podcast on the way there, trying to learn more.
Chemoradiation, Podcast Learning, and Side Effects
Fatigue was the worst part for me. I lost my hair not from the chemo, but from the radiation. I got a crazy radiation haircut. I lost my taste for a lot of different things that I used to like and different smells. I had nausea and constipation from chemo, which wasn’t as difficult as I imagined it would be, especially the lower-dose chemo. The higher dose is what got me.
Daily Life Adjustments During Treatment
After I shaved my head, I had something attached to my head and I had to shave every day to get all the prickles off. I put these electrodes on my head that came with a little backpack. It’s a little stimulation for the brain.
Obviously, I wasn’t going back to work, so I didn’t even close my own office. The main thing in my life that I wanted was to be with my baby. Keep the nanny as long as possible so she can take care of her and I can be here to see them, even if I can’t help with anything. In the beginning, my goal every day was to get out of bed and walk.
Support System: Focusing on Family and Motivation
Then, Caroline finally got encouraging news.
My original neurologist… Her idea was that I have no evidence of disease right now. My tumor was not showing up. It was either no evidence of disease or stable or unremarkable, whatever it was. I was getting MRIs every other month. She said, “If you want to take this time off to heal, then we’ll continue the MRI every other month. When your recurrence happens, you will go back on chemo.” I let my body heal and returned because my body was responsive to chemo.
Encouraging Medical News: No Evidence of Disease
I said to the doctor, “If I’m doing this, I’m going to be a five-year survivor,” because of the statistics. It’s hard to say. A certain percentage makes it to five years. I said that I would be in that 5%.
Five-Year Survival Hope and Living with Terminal Cancer
Having terminal cancer has been a blessing and a curse, but I live for each day now. I had experienced a lot of trauma growing up and I feel like I’ve been a survivor my whole life. I had bad anxiety and I don’t have that kind of anxiety anymore because I have gone through the hardest thing I could ever have gone through in my life. The world does not scare me anymore.

Inspired by Caroline's story?
Share your story, too!












